1064 · 532 nm Q-Switched Nd:YAG Laser

  • Powerful MLA Care for Skin Texture Improving
  • Stable Energy Delivery and High Durability
  • Exceptionally High Power PTP for Effective Dermal Melanin, Tattoo Ink Breaking

 

Proven effectiveness of Zoom MLA for pore, scar, and skin texture with high, stable max power of 1.3J for Qplus.

Catalog RequestProduct Video

Single Mode

1064 · 532 Q-Switched Nd:YAG Laser

Q-Switched

Key Components

Basic

ZOOM Collimation

Adjustable Spot Sizes

General Indications

Toning, Freckle, Age Spot, Carbon Peeling,
Tattoo Removal, Hair Removal etc.

Option

Fractional

ZOOM MLA

Spot Sizes

Elasticity related care for skin texture

Acne Scar, Pore Tightening, Skin Laxity,
Fine Wrinkle etc.

Option

Fractional

DOE

Spot Sizes

Pigmentation lesions for dermis without side effect

Seborrheic Dermatitis, Toning for thermal sensitive skin,
Pigment easy rebound skin etc.

Option

595nm Gold

Spot Sizes

Vascular Melasma, Rosacea, Purple · Sky Blue Tattoo etc.

Option

650nm Ruby

Spot Sizes

Rosacea, Fine Blood Vessel, Green Tattoo etc.

Feature
Realize LIOB adopting MLA
Select the mode upon the indications.

Clinically Proven LIOB Effect for Skin Rejuvenation

(Acne Scar, Pore Tightening, Skin Laxity, Fine Wrinkle etc.)

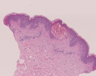
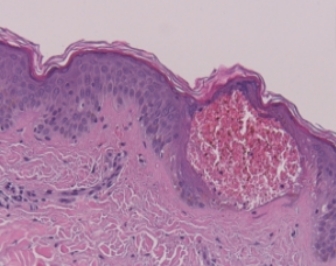
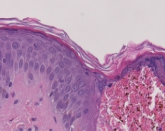
100x

Courtesy of J.B Lee M.D

200x

400x

LIOB
Laser Induced Optical Breakdown

LIOB Mechanism

MLA
Micro Lens Array

Gaussian Beam

DOE

Diffractive Optic Element

Your content goes here. Edit or remove this text inline or in the module Content settings. You can also style every aspect of this content in the module Design settings and even apply custom CSS to this text in the module Advanced settings.

Flat Top Beam

Indication

Q-Switched

Melasma & PIH Improvement, Nevus Of Ota & ABNOM 
Removal, Soft Peeling, Tattoo Removal, Freckles, Lentigines,
Café-Au-Lait Spots, Becker’s Nevus, Age Spot Improvement, Etc.

Before & After

Before

After

Freckle

Photos courtesy of Y.H Hwang MD

Before

After

Pore & Scar

Before

After

Melasma & PIH

Photos courtesy of Y.H Hwang MD

Before

After

Keloid Erythema Removal

Photos courtesy of Sayam Qureshi MD, India

Before

After

Before

After

Tattoo Removal

Photos courtesy of Santosh Shinde MD, India

Before

After

Black Head Clearance

Photos courtesy by Skinbliss Clinic, India

Treatment Video

Tattoo Removal

Carbon Peeling

Pigmentation Care

High Durability
Nd:YAG Laser System

Proven effectiveness of Zoom MLA for pore, scar, and skin texture with high, stable max power.